Greece, Athens.
admin@goka.gr
Contact us 10:00 - 18:00
  • Home
  • About Us
  • Contact Us
  • Gallery
    • Acrylic Dentures
    • Dental Microprostheses
    • Dentures on Attachments
    • Flexible Dentures
    • Metal Ceramic Teeth
    • Zirconia
  • Home
  • About Us
  • Contact Us
  • Gallery
    • Acrylic Dentures
    • Dental Microprostheses
    • Dentures on Attachments
    • Flexible Dentures
    • Metal Ceramic Teeth
    • Zirconia
Visit Us On

Greece, Athens.

Email Us On

admin@goka.gr

Dentistry in Athens - Dentistry in Athens
  • Home
  • About Us
  • Contact Us
  • Gallery
    • Acrylic Dentures
    • Dental Microprostheses
    • Dentures on Attachments
    • Flexible Dentures
    • Metal Ceramic Teeth
    • Zirconia

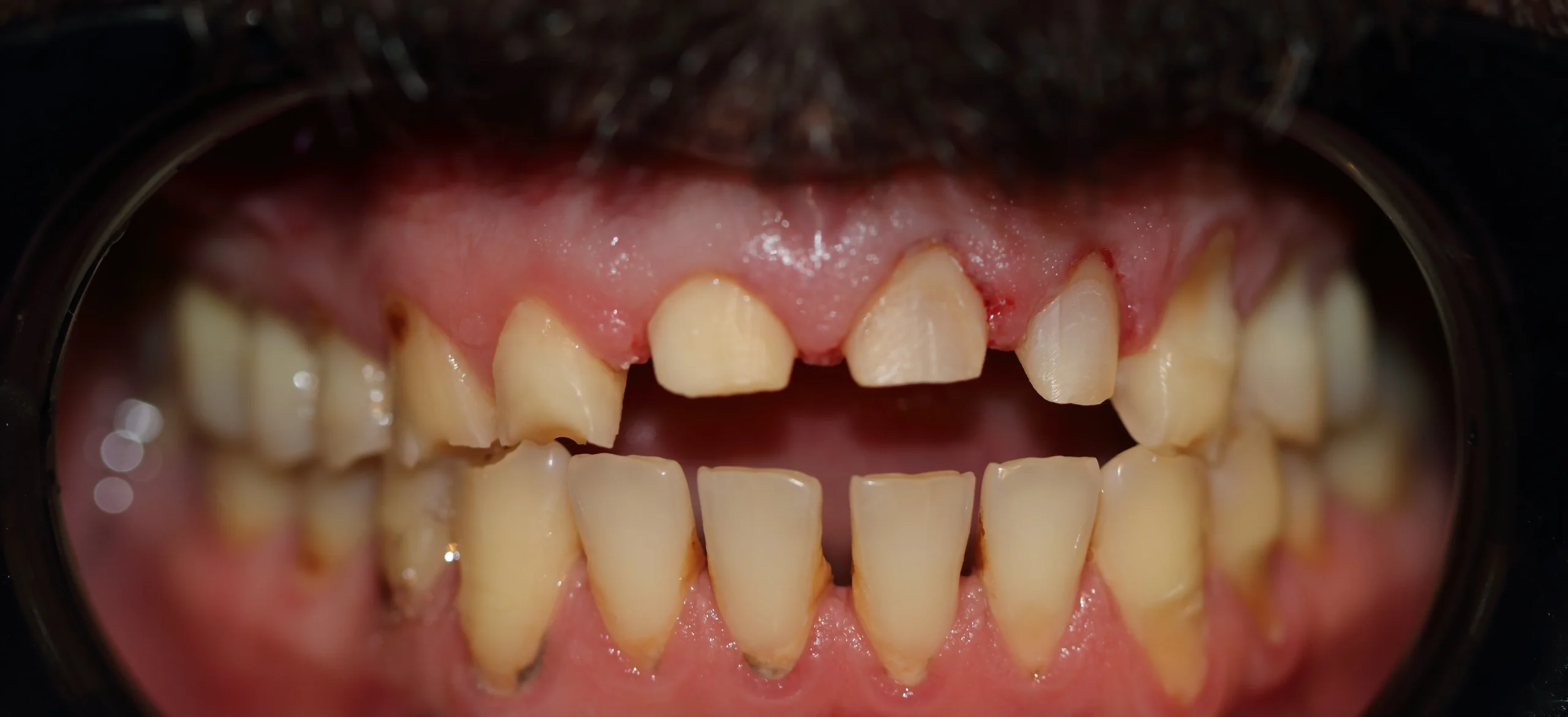
Aesthetic zirconia teeth restoration

Dentistry in Athens > zirconia > Aesthetic zirconia teeth restoration
    admin zirconia Comments are off for this post.

Aesthetic zirconia teeth restoration for a perfect smile! Durable, natural-looking, and long-lasting results.

 

Aesthetic zirconia teeth restoration for a perfect smile
Aesthetic zirconia teeth restoration for a perfect smile

zirconia

Post navigation

Dentures on Attachments
Full Zirconia Dental Restoration

Categories

  • acrylic dentures
  • dental microprostheses
  • dentures on attachments
  • flexible dentures
  • metal-ceramic-teeth
  • zirconia

Visit Us On

Greece, Athens.

Email Us On

admin@goka.gr

© Copyright 2025. All Rights Reserved.
Manicure and pedicure salon BuraNails and more...