Greece, Athens.
admin@goka.gr
Contact us 10:00 - 18:00
  • Home
  • About Us
  • Contact Us
  • Gallery
    • Acrylic Dentures
    • Dental Microprostheses
    • Dentures on Attachments
    • Flexible Dentures
    • Metal Ceramic Teeth
    • Zirconia
  • Home
  • About Us
  • Contact Us
  • Gallery
    • Acrylic Dentures
    • Dental Microprostheses
    • Dentures on Attachments
    • Flexible Dentures
    • Metal Ceramic Teeth
    • Zirconia
Visit Us On

Greece, Athens.

Email Us On

admin@goka.gr

Dentistry in Athens - Dentistry in Athens
  • Home
  • About Us
  • Contact Us
  • Gallery
    • Acrylic Dentures
    • Dental Microprostheses
    • Dentures on Attachments
    • Flexible Dentures
    • Metal Ceramic Teeth
    • Zirconia

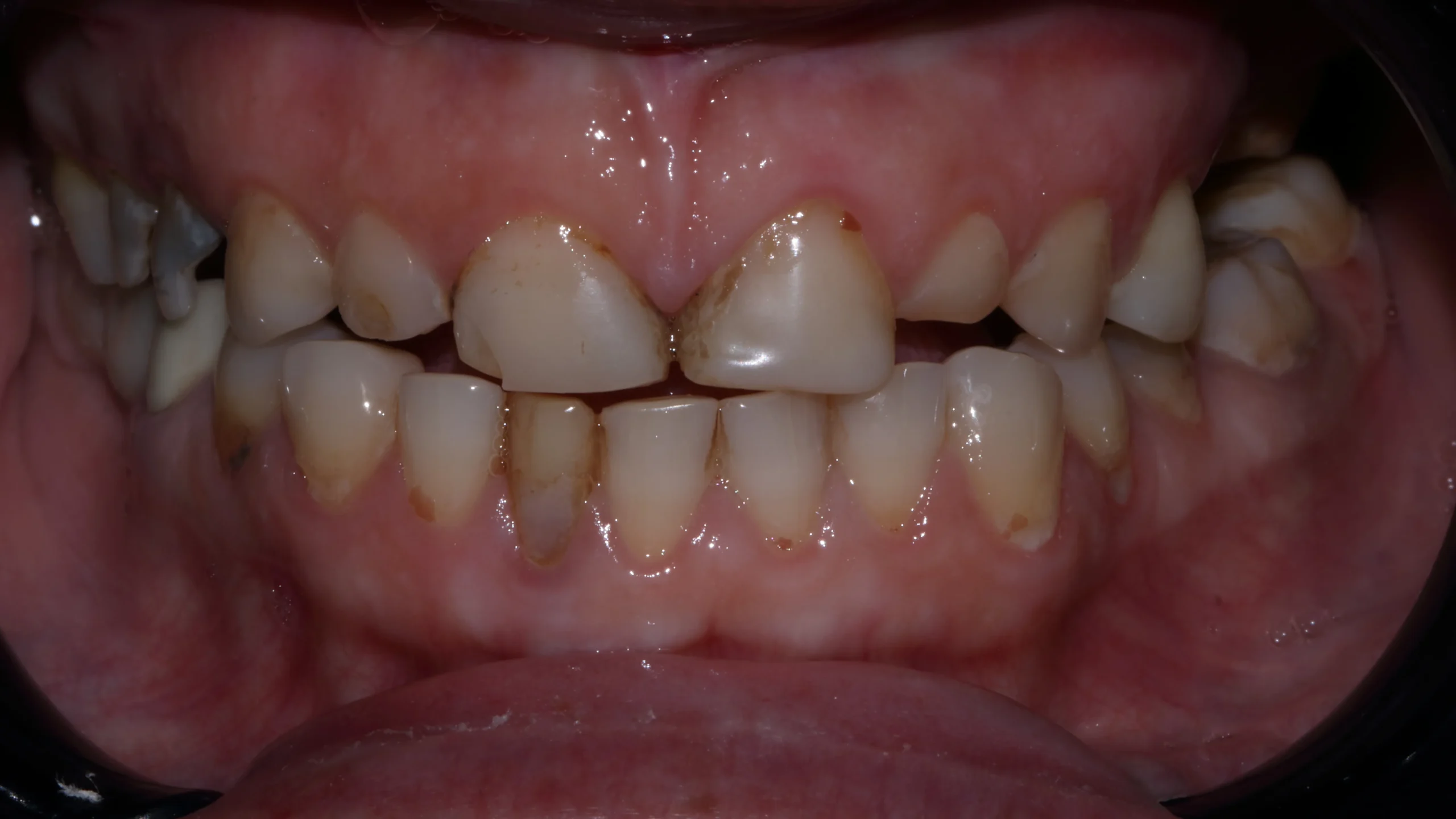
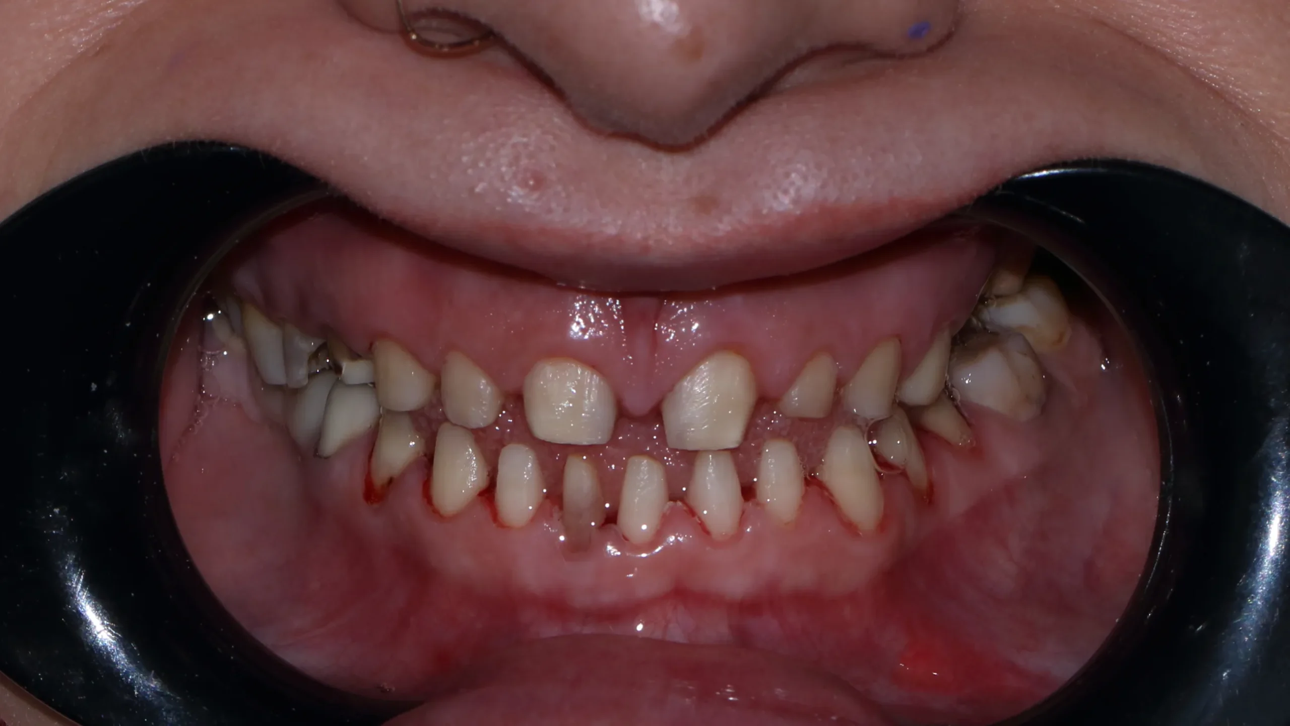
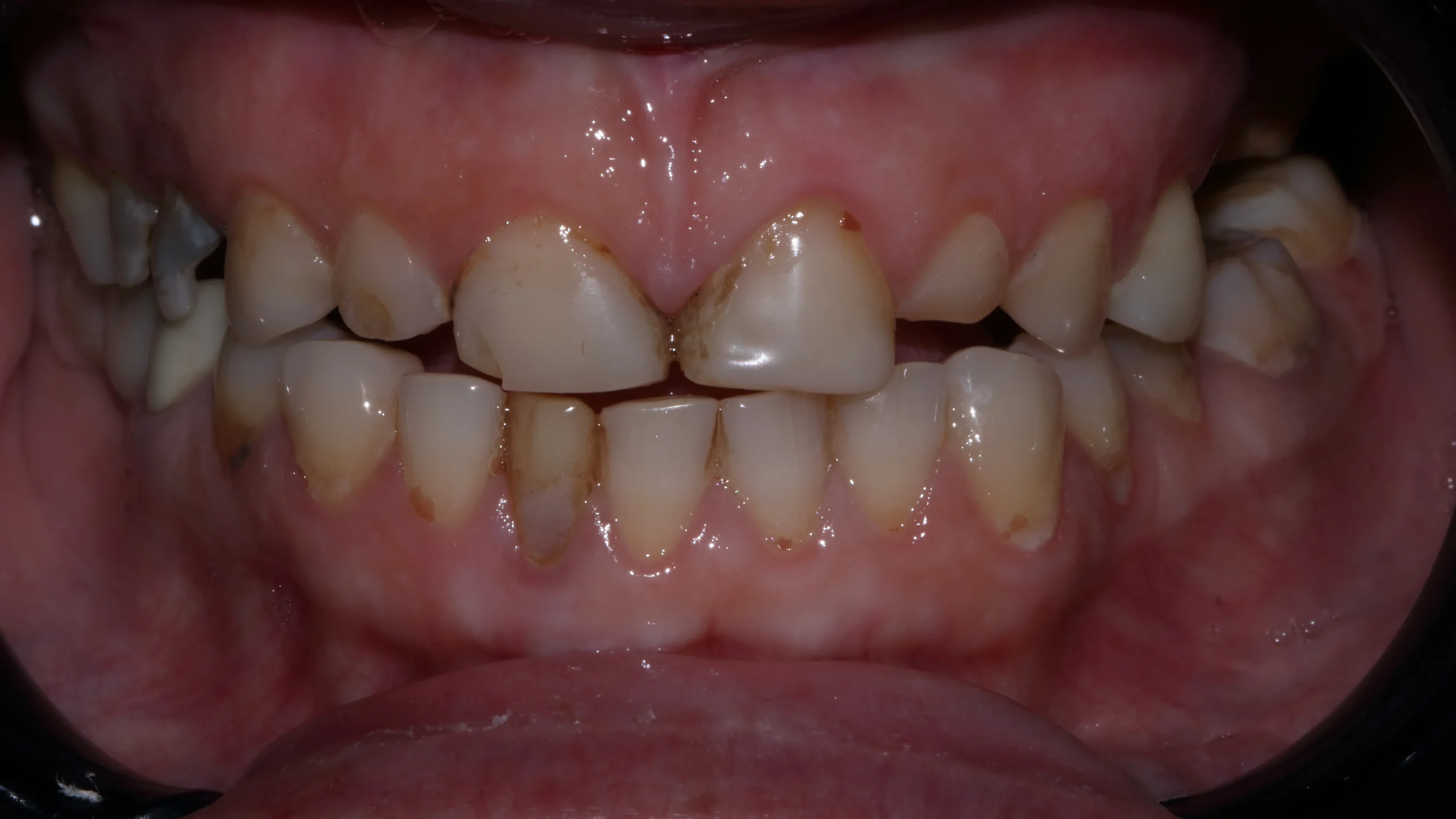
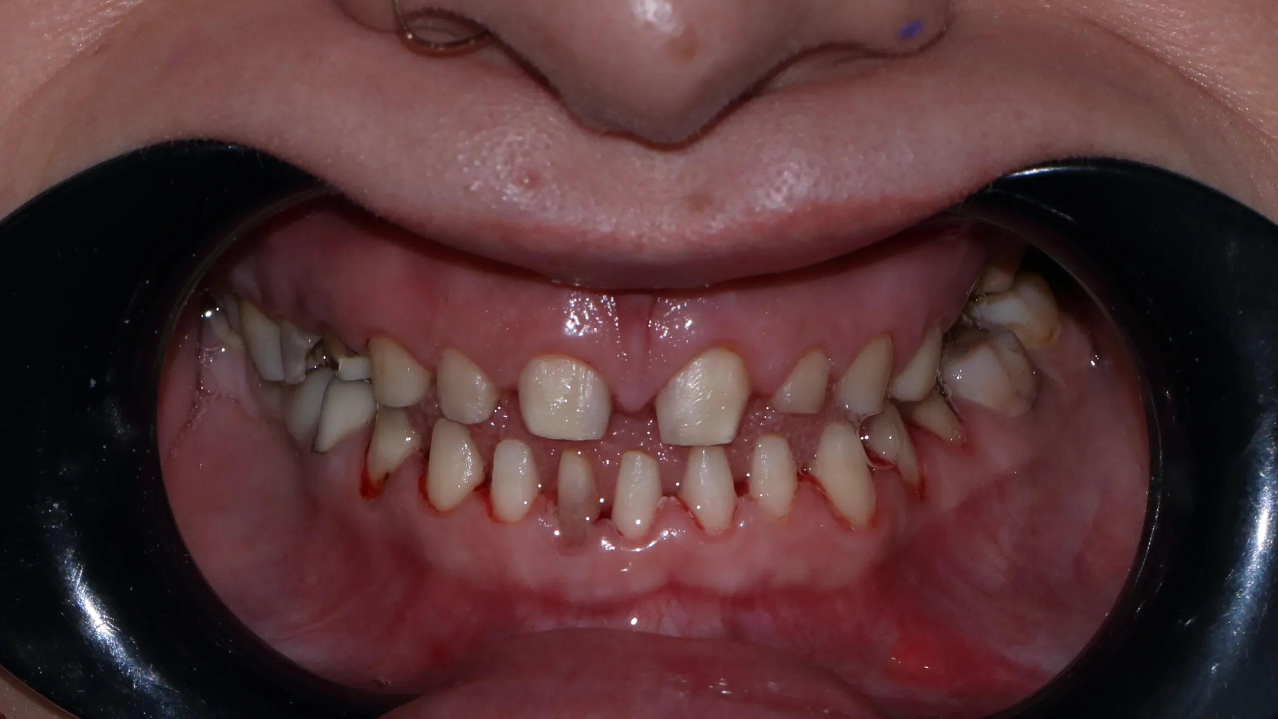
Full Zirconia Dental Restoration

Dentistry in Athens > zirconia > Full Zirconia Dental Restoration
    admin zirconia Comments are off for this post.

Full zirconia teeth restoration offers strength, durability, and a natural look. Perfect for long-lasting, beautiful smiles.

Full Zirconia Dental Restoration
Full Zirconia Dental Restoration

Full Zirconia Dental Restoration
Full Zirconia Dental Restoration

Full Zirconia Dental Restoration
Full Zirconia Dental Restoration

 

zirconia

Post navigation

Aesthetic zirconia teeth restoration
Full zirconia teeth restoration for the upper and lower jaw

Categories

  • acrylic dentures
  • dental microprostheses
  • dentures on attachments
  • flexible dentures
  • metal-ceramic-teeth
  • zirconia

Visit Us On

Greece, Athens.

Email Us On

admin@goka.gr

© Copyright 2025. All Rights Reserved.
Manicure and pedicure salon BuraNails and more...