Greece, Athens.
admin@goka.gr
Contact us 10:00 - 18:00
  • Home
  • About Us
  • Contact Us
  • Gallery
    • Acrylic Dentures
    • Dental Microprostheses
    • Dentures on Attachments
    • Flexible Dentures
    • Metal Ceramic Teeth
    • Zirconia
  • Home
  • About Us
  • Contact Us
  • Gallery
    • Acrylic Dentures
    • Dental Microprostheses
    • Dentures on Attachments
    • Flexible Dentures
    • Metal Ceramic Teeth
    • Zirconia
Visit Us On

Greece, Athens.

Email Us On

admin@goka.gr

Dentistry in Athens - Dentistry in Athens
  • Home
  • About Us
  • Contact Us
  • Gallery
    • Acrylic Dentures
    • Dental Microprostheses
    • Dentures on Attachments
    • Flexible Dentures
    • Metal Ceramic Teeth
    • Zirconia

Full zirconia teeth restoration for the upper and lower jaw

Dentistry in Athens > zirconia > Full zirconia teeth restoration for the upper and lower jaw
    admin zirconia Comments are off for this post.

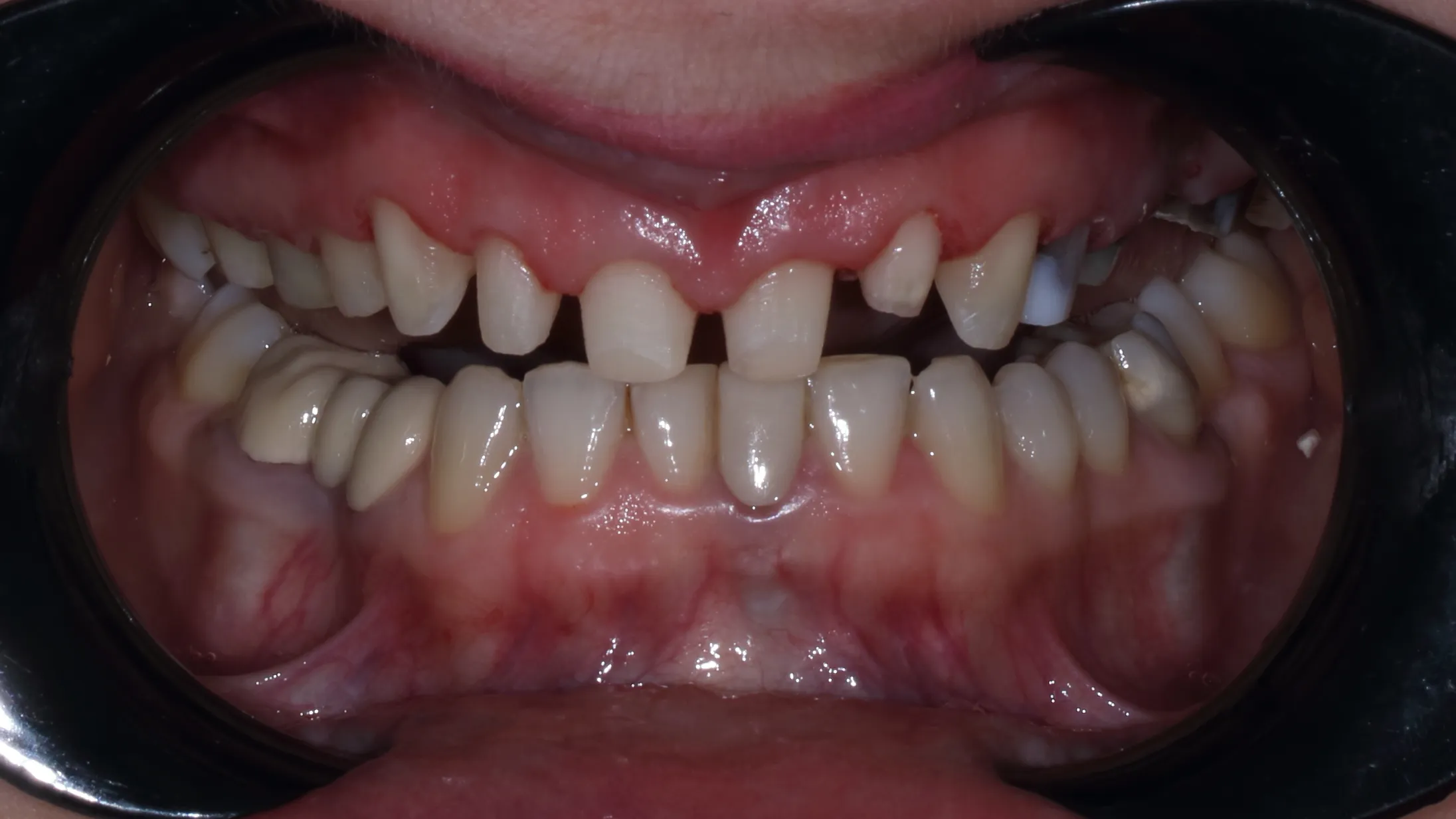
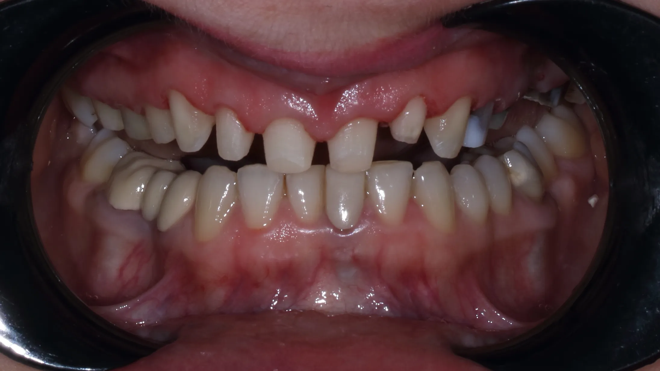
Complete zirconia teeth restoration for upper and lower jaws ensures strength, durability, and a natural look. Perfect for a confident, lasting smile!

 

Full zirconia teeth restoration for the upper and lower jaw
Full zirconia teeth restoration for the upper and lower jaw
Full zirconia teeth restoration for the upper and lower jaw

Full zirconia teeth restoration for the upper and lower jaw
Full zirconia teeth restoration for the upper and lower jaw
Full zirconia teeth restoration for the upper and lower jaw

Full zirconia teeth restoration for the upper and lower jaw
Full zirconia teeth restoration for the upper and lower jaw
Full zirconia teeth restoration for the upper and lower jaw

zirconia

Post navigation

Full Zirconia Dental Restoration

Categories

  • acrylic dentures
  • dental microprostheses
  • dentures on attachments
  • flexible dentures
  • metal-ceramic-teeth
  • zirconia

Visit Us On

Greece, Athens.

Email Us On

admin@goka.gr

© Copyright 2025. All Rights Reserved.
Manicure and pedicure salon BuraNails and more...